🚫 ¿Por qué NO se debe utilizar nitrato de plata en el tratamiento de caries infantiles?
- Marident

- 19 jun 2025
- 2 Min. de lectura
Actualizado: 3 jul 2025
El tratamiento de caries en niños ha evolucionado significativamente en las últimas décadas. Lo que antes era considerado útil o aceptable, hoy es reevaluado a la luz de los avances en ciencia y tecnología. Uno de esos tratamientos que ha quedado en desuso es el nitrato de plata, una sustancia que se aplicaba directamente sobre caries activas para frenar su progresión.

🧪 ¿Qué es el nitrato de plata?
El nitrato de plata es un compuesto químico con propiedades antisépticas y cauterizantes, que antiguamente se usaba en odontopediatría como un tratamiento para detener caries en casos donde no era posible realizar una restauración convencional, especialmente en zonas rurales o poblaciones con acceso limitado a servicios odontológicos.
Sin embargo, hoy en día, su uso ya no se recomienda, ni en niños ni en adultos, debido a los importantes efectos secundarios y a la existencia de alternativas más eficaces y seguras.
⚠️ Principales razones para NO usar nitrato de plata:
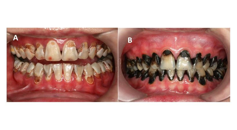
1. Mancha negra permanente
El mayor problema estético del nitrato de plata es que tiñe de negro el tejido dental cariado, dejando una apariencia poco agradable, especialmente en dientes frontales. Esta pigmentación es permanente y no puede eliminarse con limpieza.
2. No remineraliza el diente
Aunque el nitrato de plata puede matar bacterias, no fortalece el esmalte ni regenera el diente, lo cual es fundamental en el tratamiento moderno de caries.
3. Riesgo para tejidos blandos
Si se aplica de manera incorrecta, puede provocar quemaduras o irritación en encías, labios o lengua, especialmente en niños pequeños que se mueven o no colaboran durante el procedimiento.
4. No se integra con restauraciones
No permite colocar materiales restaurativos de forma adecuada sobre la zona tratada, afectando la durabilidad y funcionalidad del tratamiento.
5. Desactualizado
El nitrato de plata ha sido superado por materiales modernos, como tratamientos con materiales bioactivos, siempre priorizando la salud, el bienestar y la estética del niño.
✅ ¿Qué alternativas existen hoy?
En clínicas modernas como Marident, trabajamos con enfoques mínimamente invasivos, especialmente diseñados para la odontopediatría. Las alternativas y técnicas modernas incluyen:
Selladores de fosas y fisuras.
Materiales bioactivos que ayudan a remineralizar y proteger el diente.
Coronas pediátricas (como coronas de resina o coronas estéticas): recomendadas para dientes temporales muy afectados por caries extensas, fracturas, malformaciones o dientes que hayan sido afectados por descalcificación de esmalte permitiendo recuperar forma, función y durabilidad, actuando como una funda protectora.
Tratamientos restaurativos con resinas o ionómero de vidrio.
Técnicas de manejo del comportamiento, sin necesidad de aplicar sustancias agresivas.
👩⚕️ En Marident, priorizamos la salud y el bienestar infantil
Nuestro enfoque es evitar el uso de productos obsoletos o con efectos secundarios indeseables. La odontología moderna para niños debe ser:
Segura
Indolora
Estética
Basada en evidencia científica
Cada tratamiento es adaptado a la edad, necesidad clínica y nivel de cooperación del paciente.
💬 Conclusión
El uso de nitrato de plata en odontopediatría está desaconsejado en la práctica actual, debido a sus efectos indeseados, falta de acción remineralizante y pobre resultado estético. Su empleo ha sido reemplazado por terapias modernas, seguras y amigables para el niño.
En Marident, trabajamos con amor, ciencia y tecnología para cuidar cada sonrisa infantil. 💙🦷






Comentarios